Shendet

Studimi: Covid-19 tkurr trurin dhe dëmton indet e tij

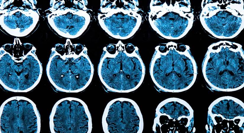
Një studim i fundit i cili ka krahasuar skanerit e trurit të shumë pacientëve para dhe pasi infektohen me Covid-19, ka zbuluar tkurrje të trurit dhe dëmtim të indeve në rajonet e lidhura me nuhatjen dhe aftësitë mendore.
Studiuesit në Universitetin e Oksfordit studiuan 785 njerëz të moshës midis 51 dhe 81 vjeç. Krahasuar me 384 persona të pa infektuar, ata që rezultuan pozitivë për Covid-19, ishin më të prekur nga tkurrja e trurit dhe veçanërisht në zonat e lidhura me nuhatjen. Për shembull, ata që kishin Covid-19 kishin tkurrje prej 1.8% të gyrusit parahipokampal, një rajon kyç për nuhatjen dhe një tkurrje 0.8% të trurit të vogël, në krahasim me pjesën tjetër që e kishin kaluar virusin.

Efektet ishin më të theksuara te njerëzit e moshuar dhe ata të shtruar në spital nga sëmundja, por ende të dukshme tek të tjerët, infeksionet e të cilëve ishin të lehta ose asimptomatike, tregoi hulumtimi, i cili u botua në revistën “Nature”.
Në hulumtime të tjerë të udhëhequra nga Kenneth Baillie, një konsulent në mjekësinë e kujdesit kritik në Universitetin e Edinburgut, u analizuan mostrat e 7,491 pacientëve me Covid-19 të pranuar në njësitë e kujdesit intensiv në Mbretërinë e Bashkuar.
Studiuesit krahasuan ADN-në e tyre me atë të 48,400 njerëzve që nuk ishin infektuar, plus ADN-në e 1,630 personave të tjerë që përjetuan Covid të lehtë.

Studimi identifikoi 16 variante të reja gjenetike që nxitën shtrimin në kujdesin intensiv, duke përfshirë gjenet e implikuara në koagulimin e gjakut, sistemin imunitar dhe intensitetin e inflamacionit nga virusi.
Këto rezultate shpjegojnë pse disa njerëz kalojnë në gjendje të rëndë Covid-19, ndërsa të tjerët nuk i zhvillojnë 16 ndryshimet gjenetike dhe nuk kanë fare simptoma.

Sipas ekspertëve është duhet të thuhet se ne i kuptojmë mekanizmat e Covid-19 më mirë se sindromat e tjera që trajtojmë në kujdesin intensiv në kohë normale. Ata shprehen se Covid-19 na tregoi rrugën për t’i trajtuar ato probleme në të ardhmen.
Burimi: The Guardian/ Përshtati: Gazeta “Si”


Copyright © Gazeta “Si”


Lini një Përgjigje

Adresa juaj email s’do të bëhet publike. Fushat e domosdoshme janë shënuar me një *

Më Shumë